
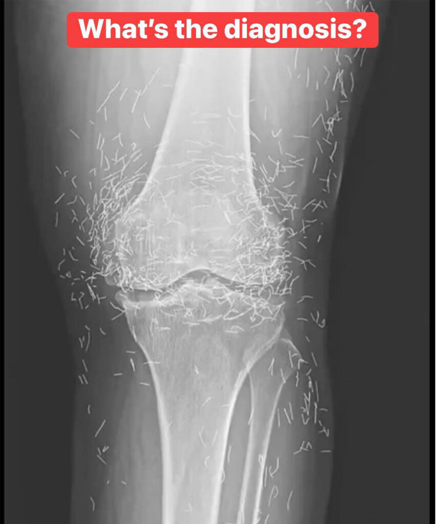
As doctors examined an X-ray image of the knees of an old woman experiencing severe joint pain, they found a gold mine: hundreds of tiny gold acupuncture needles left in her tissue.
The 65-year-old woman from South Korea had previously been diagnosed with osteoarthritis, a condition in which the cartilage and bones within the joints degrade, causing pain and stiffness. However, when pain relievers and anti-inflammatory drugs didn’t alleviate the pain in her knees and only caused stomach discomfort, she had turned to acupuncture, the doctors wrote last week in the New England Journal of Medicine.
Acupuncture is an alternative medical practice that uses needles in order to purportedly stimulate certain points on the body, to alleviate pain or to treat a variety of diseases.
In the woman’s acupuncture treatment, the needles, which were presumably made of gold, were intentionally left in her tissue for continued stimulation, the report says.
Still, leaving the needles, or any objects, in the body may not be such a good idea, according to Dr. Ali Guermazi, a professor of radiology at Boston University, who wasn’t involved with the case. Foreign objects left inside the body can lead to inflammation, abscesses and infection.
It could also make it hard for a doctor to read an X-ray. “The needles may obscure some of the anatomy,” Guermazi said.

“The human body wants to get rid of the foreign object,” Guermazi said. “It starts with some mechanism of defense, for example inflammation and forming [fibrous tissue] around the object.”
Needles left in the body can lead to other challenges, too. “The patient can’t go into an MRI because needles left in the body may move, and damage an artery,” Guermazi said.
Little evidence supports the idea that treating medical conditions with acupuncture actually works. Yet, the practice is widely used as a treatment for painful joints, and the insertion of pieces of sterile gold threads around the joint is a common treatment for arthritis in Asian countries, according to the new report.
In the US, an estimated 3.1 million U.S. adults and 150,000 children were treated with acupuncture in 2007, according to a survey by the U.S. National Institutes of Health’s National Center for Complementary and Alternative Medicine.
